Find din nye hund
Hos os fødes og opvokser hvalpene indenfor i huset. Vi har dem i stuen, så vi konstant kan holde øje med, at alt er godt hos dem. Her kan de både være under opsyn, men også få lov at få ro. Vi sover hos hvalpene, så vi selv om natten er opmærksomme på dem. Vi følger hvalpene under deres udvikling og sørger for at alle hvalpene har det lige godt. Det er vigtigt for os, at hvalpene får en god start på livet, og at de kommer ud til nogle fantastiske familier, hvor de skal tilbringe resten af deres liv. Vi fik vores første kuld på Tessa i 2021. Tessa blev parret med Bonus fra kennel Gembæk. Vi glædede os meget til at hvalpene bliv født sidst i april. Vores andet kuld var i 2023, hvor vi fik Tessa parret med Huxie fra kennel Storytale.
Vil du høre mere om Tessa? Kilk her
Vores kuld
16.05.2021
Så er vi nået de tre uger. Tiden går hurtigt. Nu er der sat hvalpegård op, så hvalpene så småt kan bevæge sig ud fra kassen. De har også smagt hvalpefoder for første gang. Det var et stort hit.
07.05.2021
Vi er ved at nærme os de to uger. Flere af hvalpene er så småt begyndt at åbne øjnene lidt. Derudover bevæger de sig også mere rundt i kassen. Hvor er de bare skønne!
02.05.2021
Så er der gået en uge. Hvor tiden dog går stærkt. Hvalpene har det så godt, og Tessa passer godt på dem. Deres små næser er langsomt ved at blive sorte. De er også udsat for deres første negleklipning. Det gik så godt.
25.04.2021
Så har Tessa født ni smukke hvalpe. Det blev til fire hanner og fem tæver. Fødslen gik rigtig godt, og varede omkring 5 timer. Første hvalpe blev født kl 15 og sidste hvalp lidt over kl 20.
17.04.2021
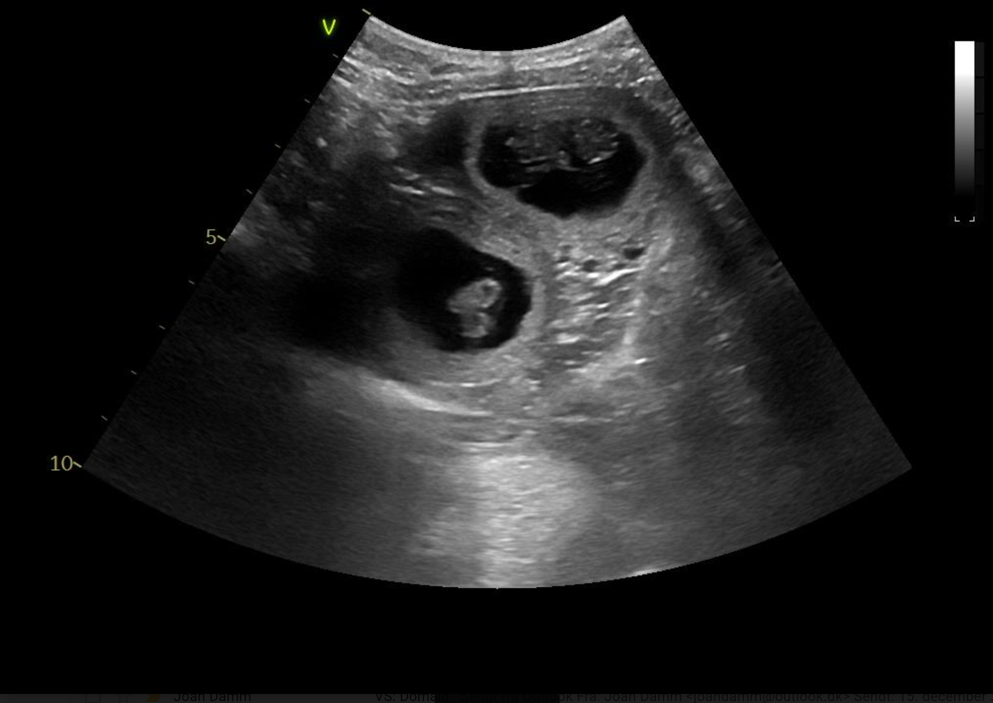
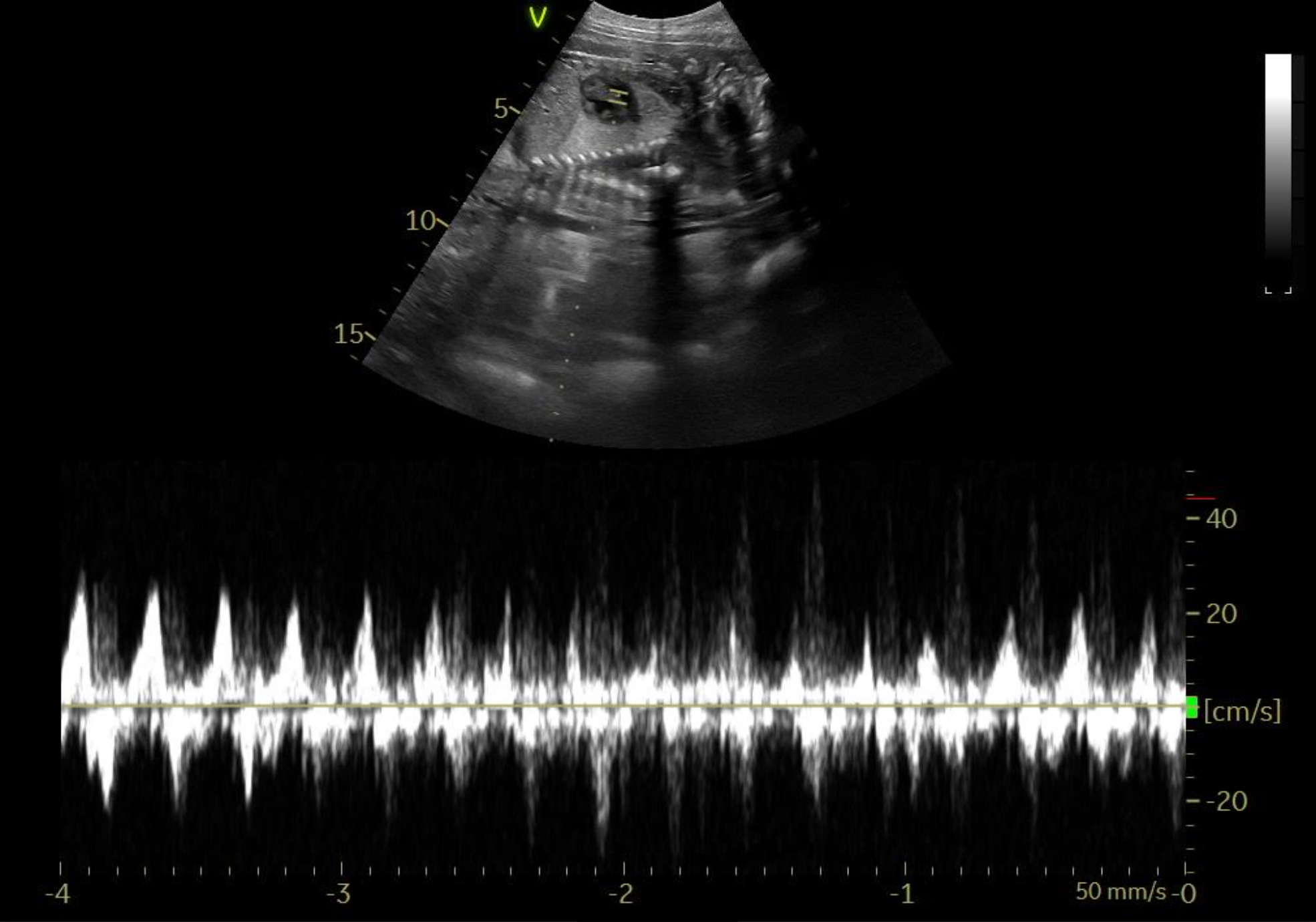
Tessa er scannet igen. Hvalpene er alle i live og har det godt. Deres hoveder er målt til 2 cm.
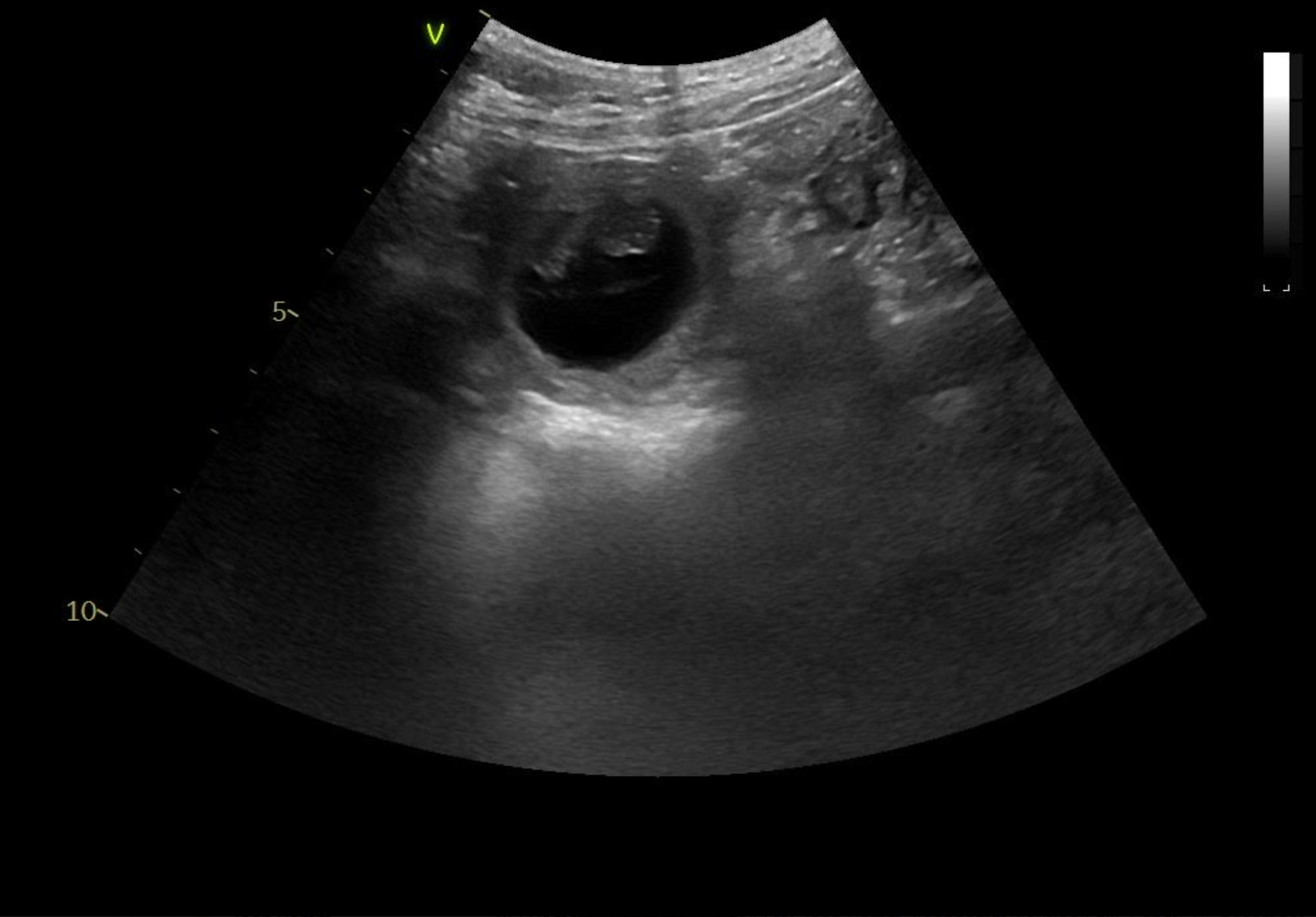
23.03.2021
Tessa er scannet drægtig. Hvalpene er sunde og er målt til 1,5 cm.